Кейсы врачей
Реальные результаты лечения наших специалистов. Фото до и после, описание процедур и стоимость.
- Реальные фото до и после
- Подробное описание проблемы и решения
- Прозрачные цены и сроки лечения

База кейсов
11Кейсов
12Врачей
98%Успеха
Фильтры
Найдено кейсов: 11
До

После

Кейс лечения
Удаление горизонтально лежащего зуба мудрости
Врач: Ваш врач скоро будет 10
Проблема: Операция проведена с использованием пьезотома. Зуб распилен и извлечен по частям за 25 минут.
Срок лечения:-
Стоимость:По запросу
До

После

Кейс лечения
Профессиональная гигиена + Отбеливание ZOOM 4
Врач: Ваш врач скоро будет 9
Проблема: Выполнена чистка по протоколу GBT. Цвет эмали осветлен на 8 тонов по шкале VITA.
Срок лечения:-
Стоимость:По запросу
До

После

Кейс лечения
Тотальная реабилитация при полном отсутствии зубов
Врач: Ваш врач скоро будет 2
Проблема: Установлено 6 имплантатов на верхнюю челюсть. Через 4 часа зафиксирован несъемный мост.
Срок лечения:-
Стоимость:По запросу
До

После

Кейс лечения
Лечение множественного кариеса в наркозе
Врач: Ваш врач скоро будет 1
Проблема: Комплексное лечение 8 зубов в условиях медикаментозного сна за 1.5 часа.
Срок лечения:-
Стоимость:По запросу
До

После

Кейс лечения
Перелечивание корневых каналов с гранулемой
Врач: Ваш врач скоро будет 8
Проблема: Под микроскопом извлечен обломок инструмента. Через 6 месяцев воспаление полностью прошло.
Срок лечения:-
Стоимость:По запросу
До

После

Кейс лечения
Комплексное лечение пародонтита средней степени
Врач: Ваш врач скоро будет 7
Проблема: Проведена чистка (SRP) и курс PRP-терапии. Кровоточивость полностью устранена.
Срок лечения:-
Стоимость:По запросу
До

После

Кейс лечения
Лечение дисфункции ВНЧС
Врач: Ваш врач скоро будет 5
Проблема: Изготовлен индивидуальный окклюзионный сплинт. Через 2 месяца суставной диск встал на место.
Срок лечения:-
Стоимость:По запросу
До

После

Кейс лечения
Тотальная эстетическая реабилитация винирами
Врач: Ваш врач скоро будет 3
Проблема: Минимально инвазивная обработка в пределах эмали и фиксация 20 керамических виниров E.max.
Срок лечения:-
Стоимость:По запросу
До

После

Кейс лечения
Восстановление разрушенного на 60% зуба
Врач: Ваш врач скоро будет 4
Проблема: Зуб укреплен стекловолоконным штифтом и покрыт керамической вкладкой-накладкой Overlay.
Срок лечения:-
Стоимость:По запросу
До

После

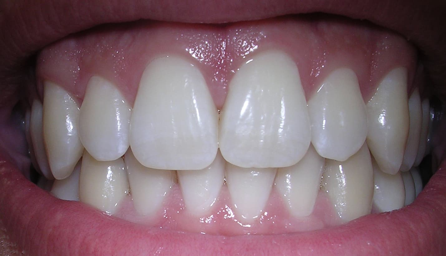
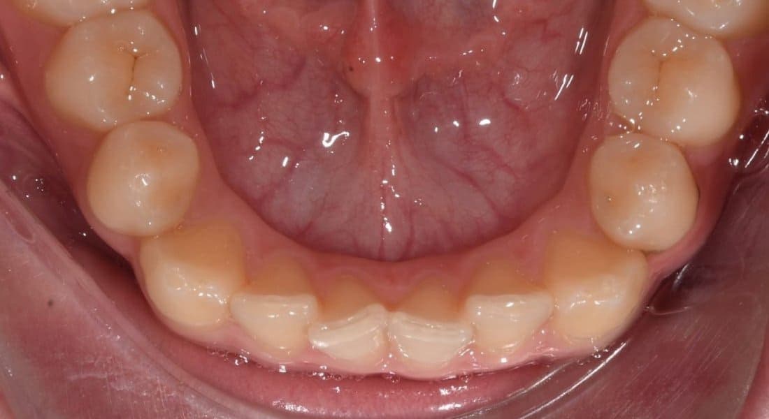
Кейс лечения
Исправление глубокого прикуса и скученности
Врач: Ваш врач скоро будет 6
Проблема: Лечение на брекетах Damon Q в течение 14 месяцев. Удалось избежать удаления премоляров и расширить улыбку.
Срок лечения:-
Стоимость:По запросу
До

После

Кейс лечения
Полная имплантация верхней челюсти
Врач: Врач не указан
Проблема: Полное отсутствие зубов верхней челюсти, атрофия костной ткани
Срок лечения:3 месяца
Стоимость:1200000 ₸